
世界上最痛苦的距离,除了生与死,还有你的牙从前白如雪,而今黑又黄!

这篇文章正是要告诉你,你是如何让你的大白牙,一步一步走到今天黑又黄的地步?当然,我们还会告诉你,如何让你成功逆转,拥有一口广告般的大白牙。
什么是牙齿着色?
牙齿着色也可以叫做牙齿变色。当有色物质黏附在牙齿表面或沉积在釉质上会导致牙齿着色的发生。着色通常表现为黄色、棕色、白色、灰色等,通常是由形成着色的原因决定的。
牙齿的着色有哪些类型?
外源性着色与内源性着色是牙齿着色的两种主要类型。
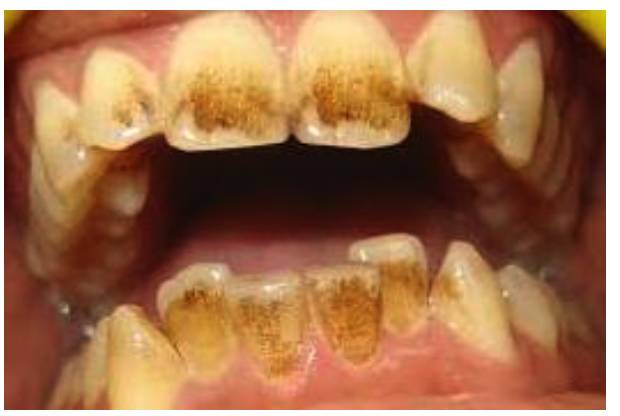
1.外源性着色
外源性着色是由于小微粒附着在牙齿表面导致的牙齿变色,即是由于外界因素导致的牙齿变色。

由于致变色的物质积聚在牙齿上的小凹痕、釉质表面的裂隙,造成了牙齿的外源性着色。这种着色大多表现为棕色、黑色或灰色,也表现为橙色或黄色。
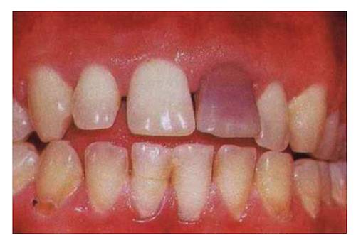
2.内源性着色
内源性着色是由于致着色的小分子渗透至牙釉质,是牙齿内部发生的变色。这种着色会呈现为红色、粉色或亮黄色。如果只有一颗牙齿发生变色,那么医生会高度怀疑是内源性着色。

为什么牙齿会着色?
其实许多原因可以导致牙齿着色。
任何可以使白色棉质材料染色的物质都可以使牙齿着色,而且色彩越浓,使牙齿着色的潜力越大。酸性物质,可能本身并不是色素,但酸有助于腐蚀牙釉质使其变软,更容易着色。
以下是牙齿着色的常见原因:
1.食物和饮料
某些食物和饮料已经被公认为,会导致牙齿着色,它们当中含有使牙齿着色的物质,包括:

咖啡:其中含有色素和鞣酸,是导致牙齿着色的活跃因素。
茶水:尤其是红茶,其中所含的色素和鞣酸也会致牙齿着色。
酒:红酒为甚,其中所含的色素和鞣酸同样会致牙齿着色,而无色的白葡萄酒虽然无色素,但同样会使牙齿容易着色。
可乐:因其中含色素,故会导致相当严重的牙齿着色。并且可乐中含二氧化碳是酸性的,会加重着色的发生。
带颜色的酱汁:例如番茄酱、咖喱酱的颜色会导致牙齿着色。
带颜色的水果:例如黑莓和葡萄,其制成的果汁也是牙齿着色的原因。
2.烟草
在吸烟人群中烟草着色是非常普遍的。当咀嚼烟草或吸烟时,烟草中的尼古丁和焦油都会导致牙齿着色。

虽然尼古丁本身是无色的,但当它与氧气结合时会变黄,附着在牙齿上。而焦油,本身就是黑色,所以会导致牙齿变成黑色。
3.口腔细菌
牙齿长期清洁不到位会导致牙菌斑的沉积(使牙齿表面变粘腻),病菌会在牙齿表面繁殖,产生绿色或橙色沉积。

4.某些药物
某些药物的副作用是会使牙齿变色。常见药物包括:
过度使用氟化物
四环素会使牙齿发生内源性变色,尤其是在儿童恒牙发育期。它们通常会引起牙齿表面产生黄色或棕色斑点、斑块。

5.蛀牙
缺乏有效地刷牙或使用牙线,会导致蛀牙。蛀牙会导致白色、黄色、棕色或黑色斑块。牙齿因有致龋的有色物质的深入而失去光泽。

6.衰老
没错,人老了牙齿也会没年轻的时候白。
因为当一个人的年龄越来越大的时候,外层的牙釉质会被侵蚀而内层黄色的牙本质会显露出来。牙齿看起来有点像牙齿着了黄色。
7.遗传因素
一些牙齿着色的原因可归咎于遗传。
某些人由于基因的问题,会有牙齿变色的倾向。也有可能是他们牙釉质较薄,使有色物质更加容易“侵袭”。
8.堪忧的口腔卫生
如果食物残渣在牙齿表面沉积,不同的残渣会导致牙齿变成白色、黄色、黑色、棕色甚至绿色。
9.修复体

例如牙冠、贴面、嵌体等等的修复体,如果它已经无法正常使用或已经老化,会变成黄色、棕色、灰色甚至黑色。这些牙齿着色通常与失败的修复体导致的牙齿蛀牙相关。
白色充填物会被着色,金属材料也会使牙齿变色。
10.牙外伤
由于牙釉质的损伤或神经的坏死会导致牙齿变黑。牙釉质损伤可能由车祸、酸性物质的腐蚀或涉及到根管的口腔外科手术导致。

如何防止牙齿着色?
防范于未然,防止牙齿着色的效果远胜于着色后治疗。预防牙齿着色不仅较容易实现,而且还更省钱。
只要遵从以下几点就可以预防着色:
1.调整饮食习惯
停止吸烟以及摄入导致牙齿着色的食物。
2.口腔卫生的保持
一天至少刷两次牙,如果可以的话最好每顿饭后刷牙。使用合适的牙刷。很多牙膏含有预防牙齿着色或使牙齿变白的成分。

3.牙齿清洁
接受专业的牙齿清洁和抛光,并用牙医推荐的抛光剂。使用牙线,以防牙齿间的着色。
牙齿着色后怎么治疗?
无奈的是,往往牙齿着色后我们才来"干着急":能不能快速让我的牙白回来啊?
那么,如何摆脱变色的牙齿呢?下面的方法能帮到你。

方法的选择取决于着色类型,选择最合适的方法即可。与此同时,牙齿美白的费用也会影响你的选择。若是这样,可以选择家庭牙齿美白替代诊所美白。
牙齿着色治疗方法包括
使用牙齿美白用品:适用于外源性着色以及根管治疗导致的内源性着色。
使用牙科方法抛光牙齿
使用牙齿家庭美白套装
使用牙齿的美白牙贴
使用美白牙膏
多食用或咀嚼苹果、梨、胡萝卜和无糖口香糖,口腔中会分泌大量唾液,它们能帮助清除掉残留在口腔中的食物残渣。
修复体:使用牙冠、嵌体、贴面或固定桥可遮盖牙齿着色。
*图文源自网络,如有侵权,请联系后台小编
Copyright 版权所有 © 贝壳口腔 www.shelldental.cn 赣州市贝壳口腔有限公司 赣ICP备20004842号-1 赣公安网备36070202000420号